豐原醫院 游朝慶 99/4/10在美國有高達30到50%的糖尿病患者有周邊神經病變,以及有0.3到2.5%的糖尿病患者有夏兒哥腳Charcot foot 1-3。夏兒哥腳首次在1868年由法國的神經學家Dr Jean-Martin Charcot所描述,他發現在三期梅毒患者會有骨頭、關節及神經病變等脊髓癆(tabes dorsalis)變化4。於1936年Dr William Jordan將此種病變關連到糖尿病患者的神經關節病變5。Charcot foot(又稱Charcot joint)的正式名稱是Neuropathic osteoarthropathy,根據 Wikipedia的解釋,其指身體負重關節的快速退化,過程包括骨頭破壞,再吸收及最後變型。基本上,任何會導致周邊感覺,本體感覺及細微運動控制的神經退化的疾病都可能會造成Charcot foot,如:糖尿病神經病變 (最常見,好發足部及腳踝),酒精性神經病變,腦性麻痺,梅毒(脊髓癆) ,脊椎受傷,脊髓空洞症,關節內類固醇注射,及先天對痛覺不敏感等都會引起。
機轉:有兩種理論
1. 神經創傷Neurotrauma :由於周邊神經病變而導致有問題的關節一而再地小受傷
microtrauma,此種傷害由於沒有被患者注意到,導致受傷的骨頭產生發炎性的再吸收resorption,使得這個區域更加脆弱,更容易受傷,形成一個惡性循環,此外由於細微運動控制不良,也導致特定關節受到不自然的壓力,而形成另一種小受傷。
2. 神經血管病變Neurovascular:患者由於有自主神經失調,使得麻木不仁的關節接受很大量的血流,這種充血的反應導致骨頭的破壞再吸收,使得骨頭被摧殘。
實際上,這兩種機轉都在Charcot joint的形成都扮演重要的角色。
沒有周邊血管病變
此種病變目前愈來愈被重視,因為它不只導致快速的足部變形,也提高了截肢率6。夏兒哥腳一個很特別的點是這些人沒有周邊血管病變7。香港最新一篇研究顯示,香港人糖尿病患者有夏兒哥腳的機率比西方人低, 12年內共有25位病人有Charcot足,其中60%為男性。病人確診時的平均年齡59歲(標準差14歲;介乎38至85歲);糖尿病年期平均11年(標準差8年;介乎0至30年)。Charcot足的病人中36%有視網膜病(n=9),20%有腎病(n=5);並未發現有周圍血管病變,這結果達統計學上的顯著性差異。有11名病人延遲診治。大部份患者只有單腳患Charcot足;有3名病人(12%)的Charcot足涉及雙腳,但病發都是由一邊開始。Charcot足關節病影響64%病人的中足。病人普遍有重疊感染(61%)。11%有復發性潰瘍,全部都屬於來院較晚的一組。只有一名病人曾做截肢術,有Charcot足的病人的5年死亡率可達33%。結論本地糖尿病患者患有Charcot足屬罕見。延遲確診很普遍,有可能與重疊感染有關,這些人都有神經病變,都有好的周邊血管循環,以及都活動自如8。
診斷:
跗蹠關節tarsometatarsal joint (Lisfranc’s joint)是最好發的部位,通常位於足部的內側,約有70%位於足部中央midfoot,15%位於足部前方或後跟9。由於骨隨炎和此種關節炎不易從X光上區分,傳統上我們會使用核醫骨頭掃描檢查,但雖然Tc-99m-MDP bone scan對神經病變關節炎的敏感性(sensitivity)很高,特異性(specificity)卻不高,Gallium-67 scan也有很高的偽陽性,最好的是使用indium-111-labeled leukocytes的scan,對於足部神經病變的骨隨炎的診斷率敏感性87%,特異性81%10。然而,MRI的診斷率更高了,敏感性100%,特異性95%,可用來幫忙確定感染,發炎或骨髓炎11,在MRI的影像,骨髓在T2表現high SI高強度的訊號表現,表示有骨髓炎,若T2在軟組織中有高強度的訊號表現則為膿瘍,神經性骨關節病變(Charcot foot)則在T1,T2都是低強度的訊號表現low SI12,13。但若患者的臨床症狀很明顯,往往只要配合X光就可以診斷,而在X光的典型發現就如Yochum & Rowe(1996)14所描述的"6 D's" of hypertrophy : 1. Distended joint 2. Density increase 3. Debris production 4. Dislocation 5. Disorganization 6. Destruction

圖參考自:American College of Foot and Ankle Surgeons • www.FootPhysicians.com
分類:
此節之圖文參考Sriussadaporn, S., Mekanandha, P., Vannasaeng, S.,Charcot foot: The diagnostic dilemma. American Family Physician, 64(9), 1591-1598. (http://www.aafp.org/afp/2001/1101/p1591.html)
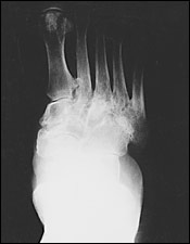
神經性關節病變可分為兩類:萎縮型atrophic及肥厚型hypertrophic,萎縮型通常位於足部前端forefoot,並且在蹠骨遠端distal metatarsals造成骨頭溶解,使得蹠骨遠端的頭部及幹部變形,在X光下看起來像鉛筆尖或被吸吮過的聖誕節柺杖糖sucked candy cane如圖一。

圖1. 骨溶解,蹠骨遠端
肥厚型通常發生在足部前方,後跟或腳踝,分類上常見有Eichenholtz classification及Brodsky's classification兩種,傳統上及最常用的是根據Eichenholtz classificationsystem來分類15,第一期是發展中,破碎期(acute Charcot),特點是關節旁的骨折及脫臼導致不穩定及變形的腳,如圖2。

圖2 (左及右)影像顯示急性夏兒哥足,並脫臼,導致不穩定的搖椅弧形底的腳rocker-bottom foot
病人在癒合期時coalescence stage (subacute Charcot)表現骨頭碎片的再吸收,在修補,再強化期(chronic Charcot)則表現骨頭碎片的融合,如圖3。

FIGURE 3. Consolidation, or reparative, stage (chronic Charcot).
最後導致一個穩定但卻變型的腳,如圖4。

圖4. Rocker-bottom foot deformity secondary to Charcot process.腳底如同搖椅的底部般,是凸的。
Eichenholtz classification system 的更新版如表114。它定義了一個破碎前期prefragmentation,或稱急性發炎期為零期,在此時期,早期診斷及介入治療是很重要的。
表1
Classification, Characteristics and Treatment Strategies for Charcot Foot
| Stage | Characteristics | Treatment* |
| 0 Clinical stage | Erythema, edema, increased temperature to foot | Limited weight bearing (possibly TCC or PPWB), close observation |
| 1 Fragmentation stage | Periarticular fractures, joint dislocation, instability, deformed foot | TCC, limited weight bearing |
| 2 Coalescence stage | Reabsorption of bone debris | TCC followed by CROW |
| 3 Reparative stage | Stable foot | Possible surgical intervention for removal of bony prominences associated with ulceration |
TCC = total contact cast; PPWB = prefabricated pneumatic walking brace; CROW = Charcot restraint orthotic walker.
*— Extra-depth shoes and pressure-relieving orthoses also may be needed.
Adapted with permission from Kelikian AS. Operative treatment of the foot and ankle. Stamford, Conn.: Appleton & Lange, 1999:153.
診斷:
若糖尿病患者有神經病變,在一個小創傷之後很可能會迅速發展為夏兒哥足,但創傷並不是夏兒哥足的先決條件,當糖尿病患者有神經病變,足部紅腫,微熱,X-光正常,此時就很可能是夏兒哥足的急性期,這些病人通常不會發燒,胰島素的需求沒有增加,白血球正常,且皮膚外觀沒有傷口,這些都和感染不同。
治療:
非手術治療的基本原則包括早期診斷,立即及充分的固定,保護受損關節,頭數周不可走路,之後要打石膏,直到骨折及脫臼癒合,讓受損部位復原,之後要穿着保護鞋,以避免再度受傷16。手術治療可以來處理傷口及矯正骨頭變形。足部減壓之手術方法有矯正足部變形,切除突出且造成壓迫之骨頭,並且做牢固的固定術例如arthrodesis 或K-pin fixation等17。
除了手術外,常用之足部減壓工具有第1.足部完全接觸石膏(total contact cast,TCC)如圖5,其於1950年代被發展出來,被認為是治療急性Charcot foot的黃金準則,第一副石膏需在一禮拜後更換,因為患部因為治療後會消腫,之後每隔2到4周更換一次石膏,直到紅腫熱情況改善,或在X光下骨頭已穩定,這段期間通常需要四個月,之後再轉換成夏兒哥矯正鞋Charcot restraint orthotic walker (CROW),如圖6,此鞋須穿6個月到兩年,直到足部已穩定,之後可以改穿訂製的矯正鞋,無論如何,這些人之後無法再穿回原本傳統的鞋子。
此外對於TCC的好處,Mueller在1989年發表一篇研究,他將四十個沒有嚴重感染或缺血的糖尿病足部潰瘍患者隨機分為兩組,一組用TCC另一組使用標準治療,TCC組90%(19/21)癒合,平均治療42天18,David於1996年做一個review,如表2,也平均有8、9成的糖尿病足部潰瘍於平均40天癒合,至於那接近2成治療失敗的原因,第一是有未診斷出的深層感染(如骨髓炎),第二是病人不遵從醫囑,沒有減少活動,或戴不住,放棄治療。

表2, 此表出自於David R Sinacor, Total Contact Casting for Diabetic Neuropathic Ulcers PHYS THER Vol. 76, No. 3, March 1996, pp. 296-301所整理
|

圖5, TCC, Total contact cast for Charcot foot

圖6, CROW FROM Acor Orthopaedic, Inc
第2種足部減壓工具是可拆下之步行石膏(removable cast walkers)或預先製造氣動型足踝護具prefabricated pneumatic walking brace (PPWB),此為TCC的替代方法,也可有效降低前足及中足的壓力,其他好處還包括可方便觀察傷口,使用各種敷料,其限制是當足部嚴重變形或患者無法順從19。


圖7氣動型足踝護具,此圖出自”內政部多功能輔具資源整合推廣中心”的輔具資源入口網http://repat.moi.gov.tw/03product/pro_a_main.asp?id=2680
第3種足部減壓工具是半鞋(halfshoes)又稱為楔狀鞋(wedge shoe) ,一種術後鞋(postoperative/surgical
Shoe),這是較不理想的輔具,有一個隨機臨床研究比較TCC,可拆下之步行石膏,及半鞋這三種輔具對治療糖尿病神經性潰瘍的療效,結果在12周後TCC比後面兩種輔具方式有顯著性的改善(89.5% vs 65%, and 58.3%)20。

圖8
參考資料:
1.Garapati R, Weinfield SB. Complex reconstruction of the diabetic foot and ankle. Am J Surg 2004;187:81S-86S.
of diabetic
2. Lavery LA, Armstrong DG, Wunderlich RP, Tredwell J, Boulton AJ. Diabetic foot syndrome: evaluating the prevalence and incidence of foot pathology in Mexican Americans and non-Hispanic whites from a diabetes disease management cohort. Diabetes Care 2003;26:1435-8.
3. Fabrin J, Larsen K, Holstein PE. Long-term follow-up in diabetic Charcot feet with spontaneous onset. Diabetes Care 2000;23:796-800.
4.Charcot JM. On arthropathies of cerebral and spinal origin. Clin Orthop Relat Res 1993;296:4-7.
5. Jordan WR. Neuritic manifestations in diabetes mellitus. Arch Intern Med 1936;57:307-66.
6. Pinzur MS. Benchmark analysis of diabetic patients with neuropathic (Charcot) foot deformity. Foot Ankle Int 1999;20:564-7.
7. Fabrin J, Larsen K, Holstein PE. Long-term follow-up in diabetic Charcot feet with spontaneous onset. Diabetes Care 2000;23:796-800.
8. HB Leung, YC Ho, WC Wong, Charcot foot in a Hong Kong Chinese diabetic Population, Hong Kong Med J Vol 15 No 3 Supplement 3 June 2009. 9.
9. Sommer TC, Lee TH: Charcot foot: The diagnostic dilemma. Am Fam Physician 2001; 64:1591-1598.
10. Palestro CJ, Mehta HH, Patel M, et al: Marrow versus infection in the Charcot joint: Indium-111 leukocyte and technetium-99m sulfur colloid scintigraphy. J Nucl Med 1998; 39:346-350.
11. Kapila A, Lines M: Neuropathic spinal arthropathy: CT and MR findings. J Comput Assist Tomogr 1987; 11:
736-739.
12. Nigro ND, Bartynski WS, Grossman SJ, Kruljac S: Clinical impact of magnetic resonance imaging in foot osteomyelitis. J Am Podiatr Med Ass 1992; 8:603-615.
13. Marcus CD, Ladam-Marcus VJ, Leone J, Malgrange D, Bonnet-Gausserand FM, Menanteau BP: MR imaging of osteomyelitis and neuropathic osteoarthropathy in the feet of diabetics. Radiographics 1996; 16:1337-1348.
14. Yochum TR, Rowe LJ. Arthritic disorders In: Essentials of skeletal radiology. 2nd ed. Baltimore, Md: Williams & Wilkins, 1996; 842-850.
15
. Kelikian AS. Operative treatment of the foot and ankle. Stamford, Conn.: Appleton & Lange, 1999: 153.16. Rajbhandari SM, Jenkins RC, Davies C, Tesfaye S: Charcot neuroarthropathy in diabetes mellitus. Diabetologia 2002; 45:1085-1096.
17. Hintermann B., Operative treatment of diabetic foot, Schweiz Rundsch Med Prax. 1999 Jul 8;88(27-28):1191-5.
18. Mueller MJ, Diamond JE, Sinacore DR, et al. Total contact casting in treatment of diabetic plantar ulcers. Diabetes Care 1989;12:384–388
19. Baumhauer JF, Wervey R, McWilliams J, Harris GF, Shereff MJ. A comparison study of plantar foot pressure in a standardized shoe, total contact cast, and prefabricated pneumatic walking brace. Foot Ankle Int. 1997;18:26–33.
20. Chantelau E. Half-shoes for off-loading diabetic plantar ulcers. Diabetes Care. 2001;24(11):2016.