今天又是全台灣大外科一年一次的大拜拜,順便也去貼了兩張海報。都只是個案報告。
順便測試google blogger部落格的圖片是否可恢復正常顯示(真的快被搞瘋了)
第一篇的中英文介紹如下:
併有心臟衰竭的靜脈鬱滯性潰瘍患者
Venous Stasis Ulcers in the Patient with Heart Failure
游朝慶
台南市立醫院 外科
前言:
靜脈性潰瘍(Venous ulcer),又被稱為鬱滯性潰瘍(stasis ulcer),是最常見的下肢潰瘍原因。其診斷需根據臨床表現,如靜脈不全、皮膚的變化或下肢水腫,其預後不好,常數年不會癒合。我們介紹一個個案,其兩下肢多處潰瘍、疼痛及水腫已四個月未癒合,我們在兩星期內就把潰瘍治療到接近癒合。
個案報告﹕
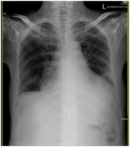
62歲退休男性,有慢性心臟衰竭及中風已四年的病史,兩腳多處潰瘍及腫痛已四個月,此次因為兩腳紅腫熱痛,懷疑蜂窩性組織炎(cellulitis)及深層靜脈栓塞(Deep vein thrombosis)而從門診收住院。理學檢查:兩小腿下1/3有色素沉著(hyperpigmentation),嚴重凹陷性水腫(pitting edema),兩小腿紅腫痛,兩足部均可摸到脈搏,在右小腿有一3*4公分的傷口,並有濕性痂皮(wet eschar),在左小腿則有一巨大的15*10公分不規則淺傷口(如圖1),並有大量滲液。胸部有呼吸喘鳴聲(wheezing),實驗室檢查:WBC: 9810, Seg:87, Hb:13.0, plate:313K, BUN/Cr:23.5/1.2, Alb:2.9, Glu:114, CRP:9.25, Alb:2.9, T4:5.07, TSH:4.0756. EKG顯示有First degree AV block. 胸部X-ray: 心臟肥大、肺水腫(pulmonary edema)並有肋膜積水(如圖2)。周邊血管超音波排除了深層靜脈栓塞,但心臟超音波: chamber dilatation and generalized hypokinesis with impair global performance with ejection fraction : 35%.顯示嚴重心臟衰竭。
圖1. hyperpigmentation over lower third of both calf, severe pitting edema, swelling, erythema, tenderness over bilateral calf, with chronic ulcer
圖2. cardiomegaly, pulmonary edema with pleural effusion
因此診斷為心臟衰竭導致的下肢靜脈性潰瘍並鬱滯性皮膚炎,根據心臟科醫師建議,便開始使用大量利尿劑及低劑量dopamine療法,傷口則局部使用優碘粉(iodosorb powder),兩小腿抬高並綁上彈性繃帶。治療一禮拜後,wheezing改善後才去開刀房清創傷口(如圖3),患者在住了12天後出院。
圖3.手術後,左小腿傷口已有局部癒合
結果
患者在出院後一禮拜回診,此時傷口已縮小了7成(如圖4)。
最後診斷為CHF with pul edema with Venous stasis ulcers with cellulitis, bil lower legs, C6EsApPr
圖4. OPD回診,兩小腿傷口已縮小
討論:
靜脈不全導致的靜脈性潰瘍常常容易復發,且常常會持續數禮拜到數年,壓迫治療(使用彈性繃帶或彈性襪)是這種疾病的標準治療,治療6個月成功率約3-6成,治療1年成功率約7-8.5成,但傷口治療師永遠要記得引起靜脈潰瘍的其他原因,如肝硬化、心衰竭、深層靜脈栓塞、肥胖、腳外傷後(如骨折或手術)的後遺症、換過人工髖關節或膝關節、服用抗白血病的藥或其他會導致下肢水腫的藥。以這案例而言,利尿劑對於靜脈不全的水腫無效,但若是肝硬化或心衰竭所導致的下肢水腫,則利尿劑效果非常好。
Venous Stasis Ulcers in the Patient with Heart Failure
Chao-Chin Yu
Department of Surgery, Tainan Municipal Hospital
Introduction:
Venous ulcer, also known as stasis ulcer, is the most common etiology of lower extremity ulceration. The diagnosis of stasis ulcer was based on clinical criteria: venous insufficiency, cutaneous signs and/or severe leg edema. This prognosis of venous ulcer is poor. We report a case of bilateral leg chronic ulcers with pain and edema for 4months who nearly heals his ulcer in only 2 weeks.
Case Presentation:
The 62 year-old retired male with past history of chronic heart failure and old CVA for 4years is well until 2014/12/4 when he suffered from progressive swelling, erythema, pain, tire and heat over his bilateral legs. He was admitted via OPD under the initial suspicion of cellulitis and deep vein thrombosis. Physical examination shows hyperpigmentation over lower third of both calf, severe pitting edema, swelling, erythema, tenderness over bilateral calf and palpable pulses in both feet. A ulcer about 3*4cm with wet eschar 100% over right lower leg. The other huge shallow ulcer about 15*10cm with irregular shape and heavy discharge over left calf. Wheezing in chest was also noted. Lab data shows: WBC: 9810, Seg:87, Hb:13.0, plate:313K, BUN/Cr:23.5/1.2, Alb:2.9, Glu:114, CRP:9.25, T4:5.07, TSH:4.0756. EKG: First degree AV block. Chest X-ray: cardiomegaly, pulmonary edema with pleural effusion. Pheripheral vein sono on 12/6 shows no deep vein thrombosis. Cardiac echo on 12/8 shows four chamber dilatation and generalized hypokinesis with impair global performance with ejection fraction : 35%. Then we start lasix with low dose dopamine therapy by the suggestion of CV doctor. Besides, the wounds were treated with iodosorb powder topical use, legs elevation and compression therapy with elastic bandage under the diagnosis of venous stasis ulcers. He also received an operation for debridement on 12/11 after the wheezing improved. He was discharge on 8/16.
Results:
The patient was followed up in my OPD on 12/23. At that time, the huge ulcer of left leg showed about 70% reduction in wound area and near healed.
Discussion:
Venous ulcers are often recurrent, and open ulcers can persist from weeks to many years. Compression therapy is the standard of care for venous ulcers and chronic venous insufficiency. Success rates range from 30 to 60 percent at 24 weeks, and 70 to 85 percent after one year. However, wound care specialists should always keep in mind other possible causes of venous ulcers include liver cirrhosis, heart failure, deep venous thrombosis, obesity, after-effects of leg injury, homolateral artificial hip and knee joints, and consumption of anti-leukaemia or leg-edema-eliciting drugs.
